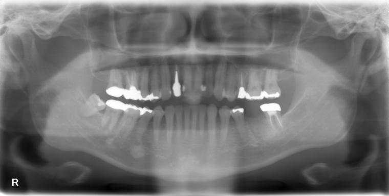
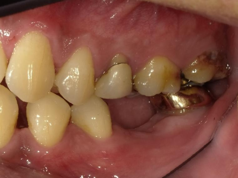
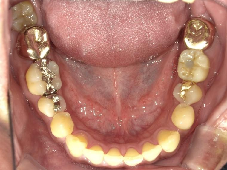
BEFORE

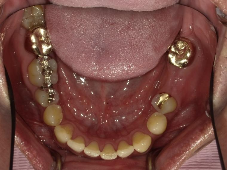
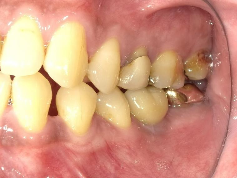
AFTER


44歳男性
/下顎1本欠損/インプラント埋込手術

【治療内容】

他院で左下第一大臼歯を治療していましたが、治療を中断してしまい、状態が悪化、抜歯になった患者さんです。

インプラントでの治療を希望されて当院へご来院されました。

現在は定期検診で拝見させて頂いています。

【費用】                                                                                                     

45万円

【治療期間】

9ヶ月

【治療におけるリスク・副作用】

インプラント治療は手術を伴います。腫れや痛みが少なくなるよう努力をしておりますが、多少の腫れや痛みが出ます。しかし、痛み止めで抑えられる程度ですのでご安心ください。