稲毛の歯医者【千葉総合歯科稲毛 矯正歯科】インプラント・矯正全般・一般診療など
読み込み中

稲毛の歯医者【千葉総合歯科稲毛 矯正歯科】インプラント・矯正全般・一般診療など

9:00-13:00/14:00-18:00
(土日は17:00まで)

043-445-8810

WEB予約

アクセス

土日も診療 買い物・通勤・通学に便利な場所 稲毛駅東口から徒歩30秒

Case症例

  • Top pageトップページ
  • Medical診療メニュー
    • 虫歯・根管治療
    • 歯周病治療
    • 予防歯科
    • 小児歯科
    • 小児矯正
    • 審美治療
    • インプラント治療
    • インプラント症例
    • 入れ歯
    • 矯正歯科
    • マウスピース矯正
    • マウスピース矯正症例
    • 口腔外科・その他
  • Conceptコンセプト
  • Treatment flow診療の流れ
  • Staffスタッフ紹介
  • Clinic医院案内
    • 院内紹介
    • 設備紹介
    • アクセス
    • 駐車場について
  • Recruit採用情報
  1. 症例

Case症例

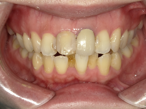
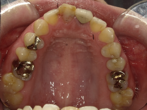
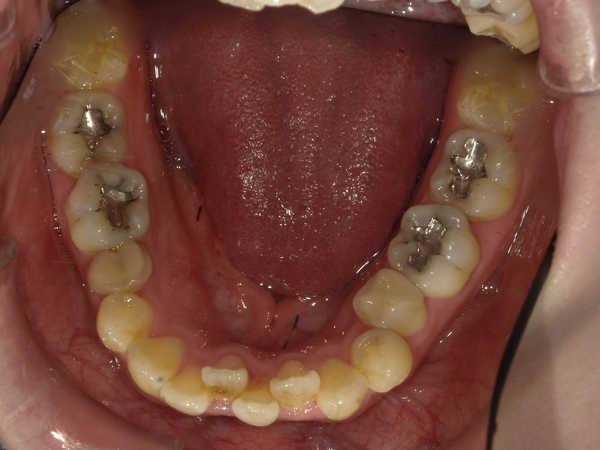
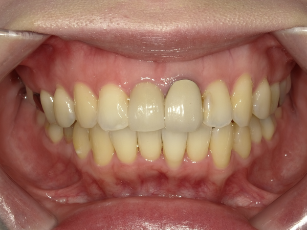
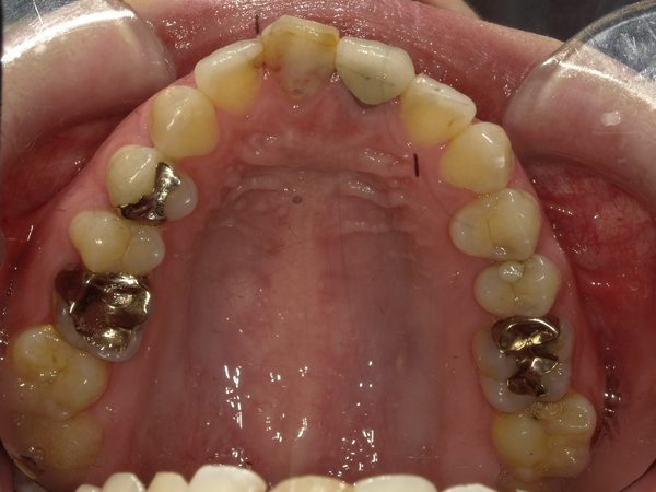
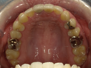
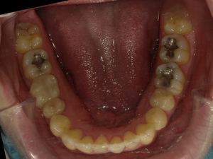
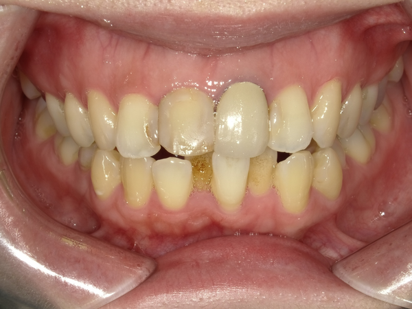
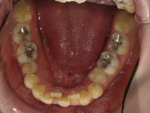
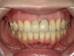
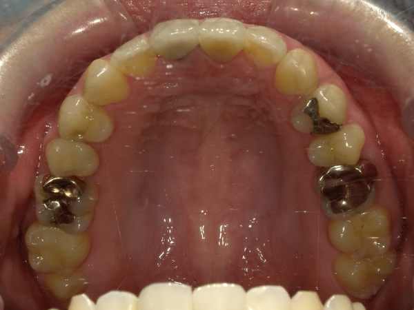
ガタガタとした歯並びや八重歯(叢生)CASE30

2023.12.13

30代女性
☆before→after☆


◯ご相談内容:歯並びが全体的に良くない
◯矯正の種類:マウスピース型矯正「インビザライン」
◯治療期間:22週間
◯治療費用:44万円(税込)

<  下顎大臼歯1本欠損症例
右上大臼歯1本欠損症例  >

稲毛の歯医者【千葉総合歯科稲毛 矯正歯科】インプラント・矯正全般・一般診療など

初診の電話予約はこちら
043-445-8810
6F:043-255-8847 7F:043-445-7300

診療時間月火水木金土日祝
09:00~13:00〇〇〇〇〇〇〇/
14:00~18:00〇〇〇〇〇▲▲/

▲:土曜、日曜は17時まで

© 千葉総合歯科稲毛 矯正歯科.

稲毛の歯医者【千葉総合歯科稲毛 矯正歯科】インプラント・矯正全般・一般診療など

  • トップページ
  • 診療メニュー
    • 虫歯・根管治療
    • 歯周病治療
    • 予防歯科
    • 小児歯科
    • 小児矯正
    • 審美治療
    • インプラント治療
    • インプラント症例
    • 入れ歯
    • 矯正歯科
    • マウスピース矯正
    • マウスピース矯正症例
    • 口腔外科・その他
  • コンセプト
  • 診療の流れ
  • スタッフ紹介
  • 医院案内
    • 院内紹介
    • 設備紹介
    • アクセス
    • 駐車場について
  • 採用情報
  • 電話する
  • アクセス
  • WEB予約
  • LINE予約
  • 問診票
  • Web
    診療予約
  • お電話 1F (初診の方)043-445-8810 6F043-255-8847 7F043-445-7300
  • LINE予約
  • 問診票
  • 稲毛駅
    東口から
    徒歩30秒