9:00-13:00/14:00-18:00(土日は17:00まで)
043-445-8810
WEB予約
アクセス
土日も診療 買い物・通勤・通学に便利な場所 稲毛駅東口から徒歩30秒
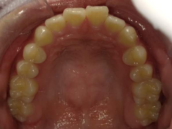
2023.11.29
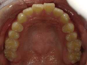
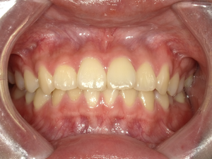
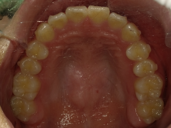
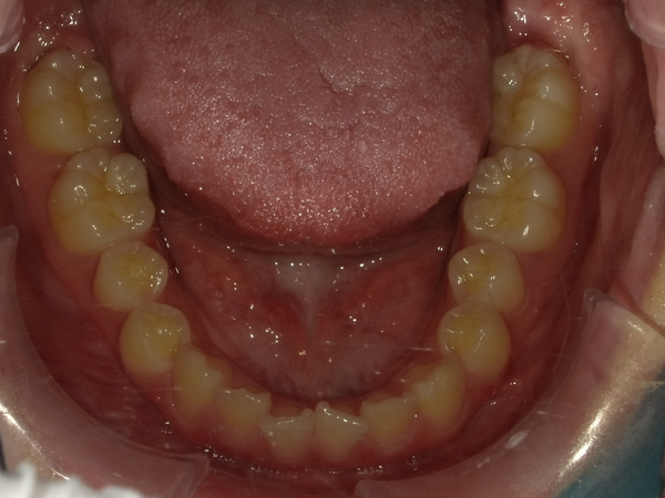
◯ご相談内容:歯のがたつき◯矯正の種類:マウスピース矯正「インビザライン」◯治療期間:26週間◯治療費用:66万円(税込)