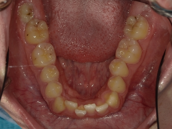
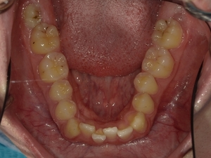
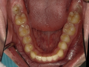
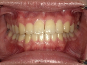
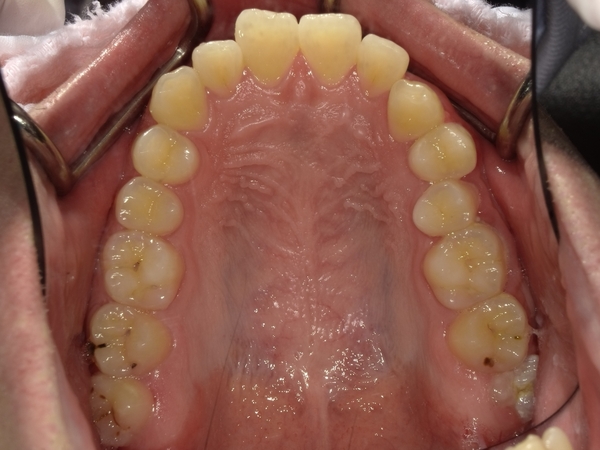
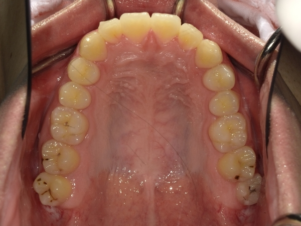
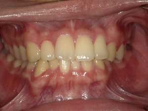
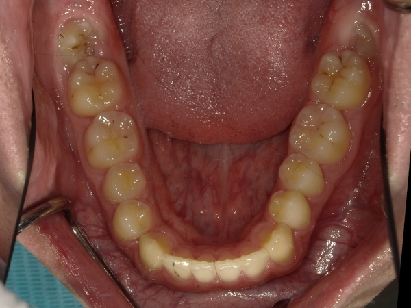
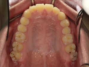
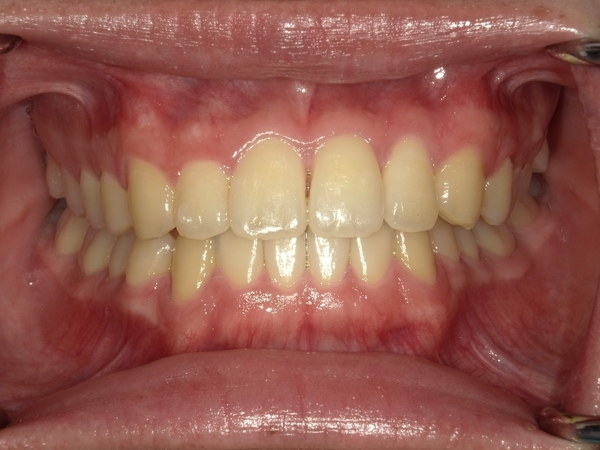
20代男性

☆before→after☆


◯ご相談内容:歯並びが良くない
◯矯正の種類:マウスピース型矯正「クリアコレクト」
◯治療期間:15週間
◯治療費用:66万円(税込)