9:00-13:00/14:00-18:00(土日は17:00まで)
043-445-8810
WEB予約
アクセス
土日も診療 買い物・通勤・通学に便利な場所 稲毛駅東口から徒歩30秒
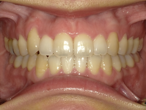
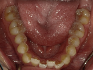
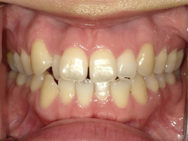
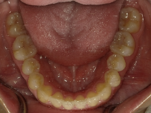
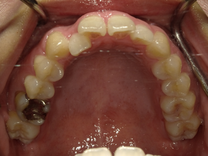
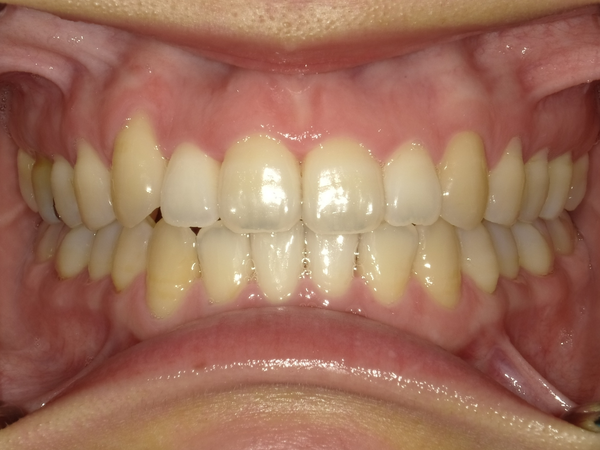
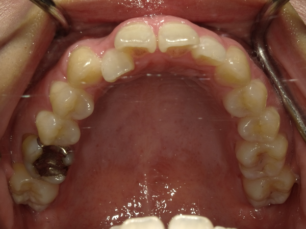
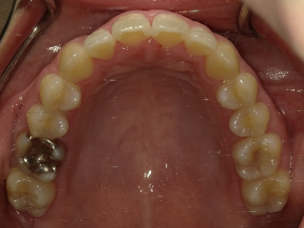
2023.10.02
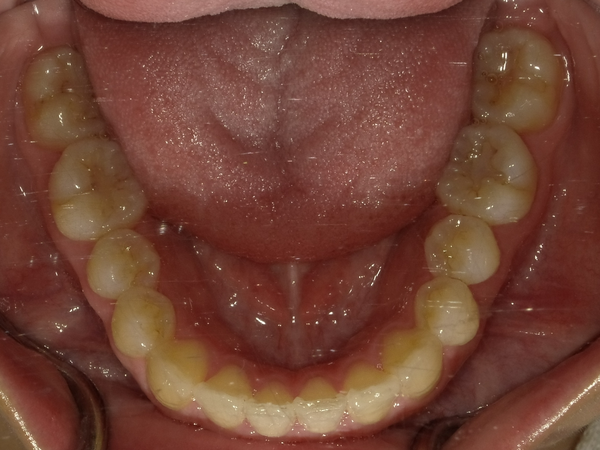
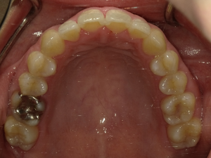
●ご相談内容:歯がガタガタしてる●矯正の種類:マウスピース型矯正「インビザライン」●治療期間:26週間●治療費用:66万円(税込)