9:00-13:00/14:00-18:00(土日は17:00まで)
043-445-8810
WEB予約
アクセス
土日も診療 買い物・通勤・通学に便利な場所 稲毛駅東口から徒歩30秒
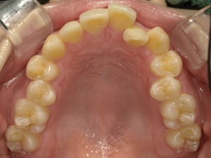
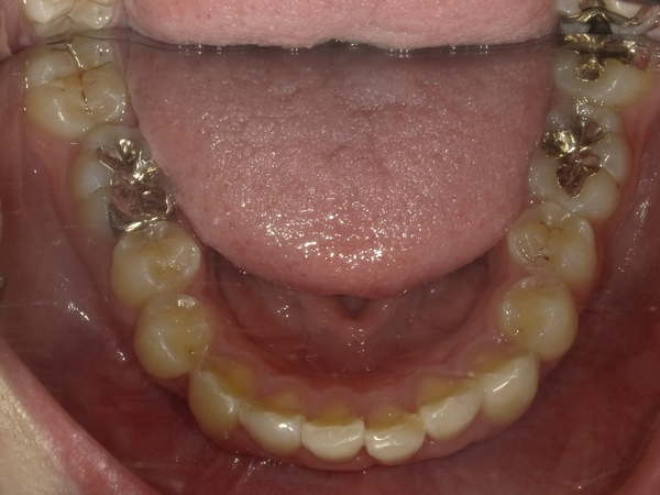
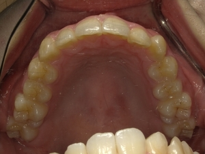
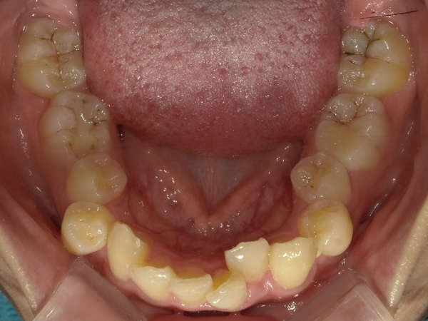
2023.07.17
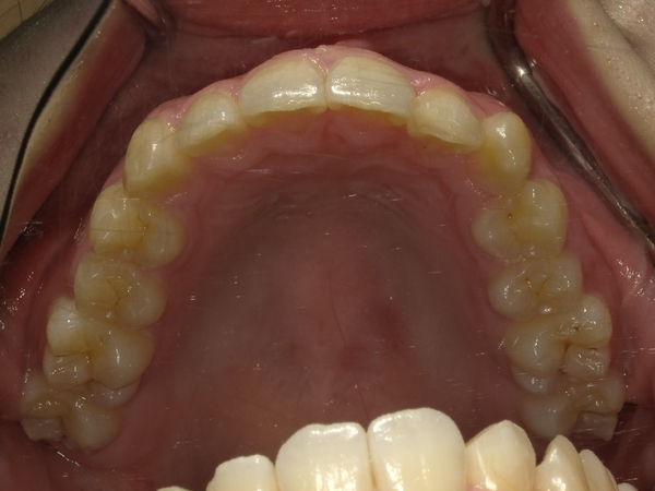
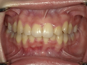
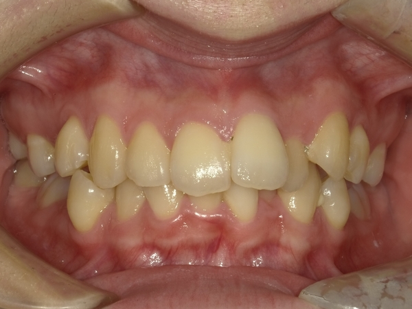
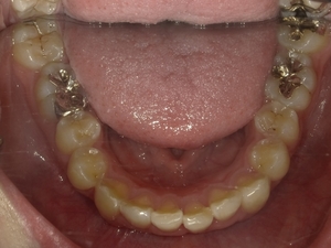
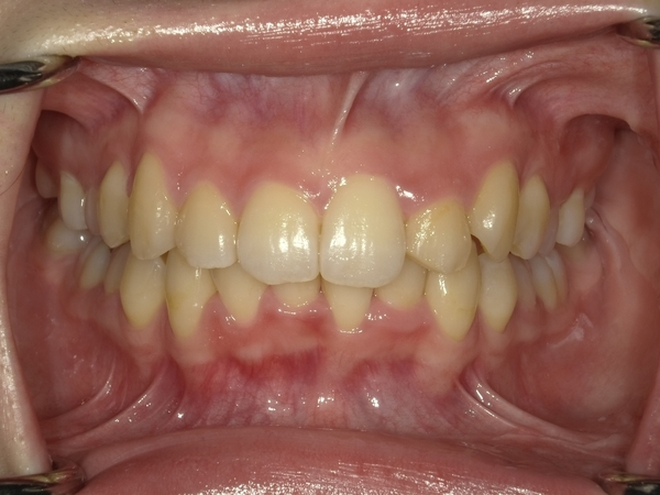
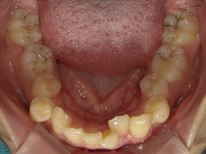
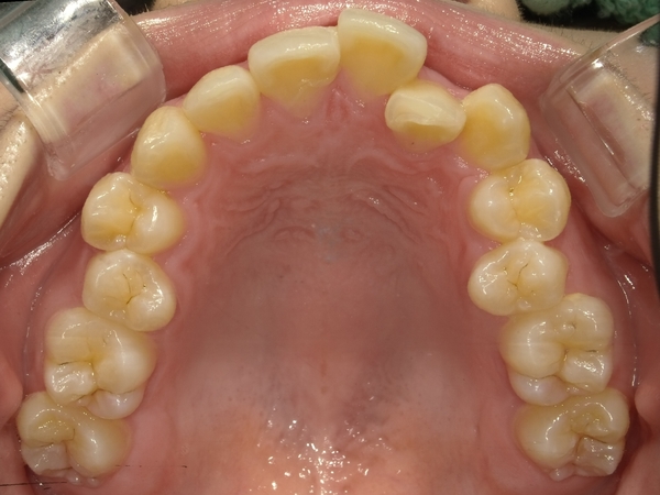
○ご相談内容:歯並びが悪い○矯正種類:マウスピース型矯正「クリアコレクト」○治療期間:16週間(約4ヶ月)○治療費用:66万円(税込)