9:00-13:00/14:00-18:00(土日は17:00まで)
043-445-8810
WEB予約
アクセス
土日も診療 買い物・通勤・通学に便利な場所 稲毛駅東口から徒歩30秒
2022.12.25
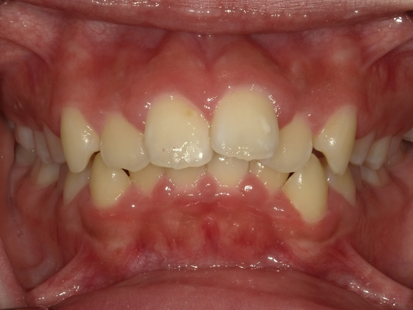
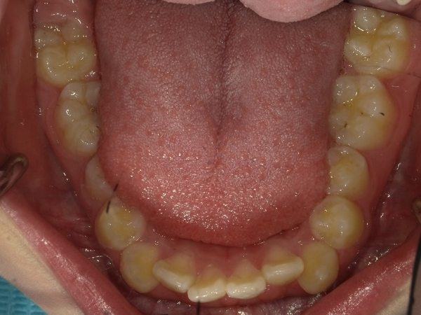
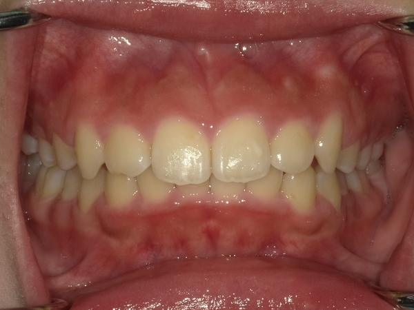
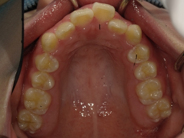
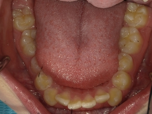
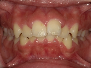
10代女性非抜歯
before After