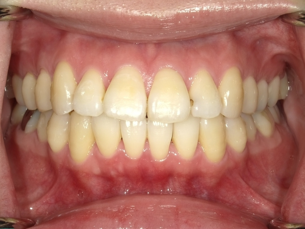
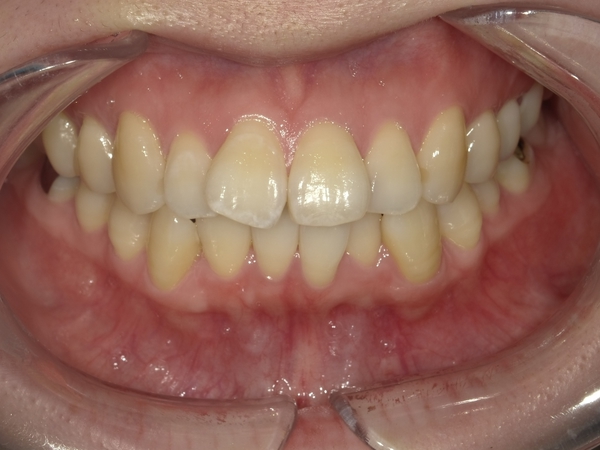
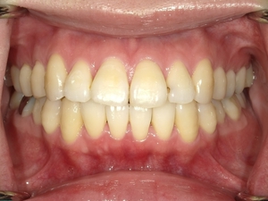
30代女性非抜歯

Before                                                         After
     

ご相談内容:前歯のねじれ
●矯正の種類:マウスピース型矯正『インビザラインGO』
●治療期間:15週(約3ヶ月)
●治療費用:44万円