気付かれにくい
「本当に矯正してるの?」と見た目が自然で、会話にも違和感がありません


透明で目立たないマウスピースを使った矯正治療法です。取り外しができるので飲食や ブラッシングに支障がありません。
一定期間ごとにマウスピースを取り替えて歯を動かしていきます。
マウスピースを使用した矯正治療の方法です。
マウスピース矯正はスキャナーで歯型などの情報を採取し、そのデータをもとに分析をおこない、最終的な状態を予測し、カスタムメイドのマウスピースを作製していきます。
作られるマウスピースと元の歯並びには若干のズレができるように設計されていて、マウスピースを装着することでズレの方向に圧力がかかって歯が動きます。
マウスピースは約1週間で次のステージのマウスピースに取り替えます。
1枚で約0.25mm動きます。
このように少しずつ最終的な歯並びにむかってズレがあるマウスピースを取り替えていくことで歯が動いていくのです。 一週間に0.25mm歯が動いていくのですが、従来のワイヤー矯正よりもゆっくりと動いていきますので、比較的痛みが少ない特徴があります。
マウスピース矯正の一番のメリットは装置が目立たないことです。
薄くほぼ透明なポリウレタン製の装置なので、装着していてもほとんど気づかれません。
マウスピース矯正は治療中の見た目が気になる方や、人と接する機会の多い方などにおすすめの矯正治療です。
他の矯正、従来のワイヤーを使用した矯正治療などとは違い、患者さん自身で装置を取り外すことができることが大きな特徴の一つです。
マウスピース矯正は食事の時に取り外すことができるので、装置に食べ物がはさまる心配がなく、治療中も普段通りの食事をすることが可能です。
食べるものの制限がないため、毎日の食事を楽しむことができます。
マウスピース矯正は、治療の段階に合わせて矯正装置を新しいものに交換し装着することで少しずつ歯並びを整えていきます。
矯正装置は患者さんご自身で交換していただく必要があるので、自己管理がとても大切になります。
マウスピース矯正は金属を使用せず段階的に歯を動かしながら歯並びを矯正するため、従来の矯正治療に比べて痛みが少なく、口唇や粘膜を傷つけてしまう心配がありません。また、治療期間中に装置が外れてしまうなど緊急性が少ないことも特徴のひとつです。
STEP
1
STEP
2
STEP
3
STEP
4
STEP
5
STEP
6
STEP
7
STEP
8
STEP
9
透明に近いマウスピース型の矯正装置を装着して歯並びを綺麗にする方法です。
今までに世界で1300万人を超える患者さんがインビザラインによる治療をうけています。
(2022年6月時点)
治療開始前に歯の動きをシミュレーションして治療のゴールをイメージすることができます。
インビザラインは、患者さんのデータに基づきマウスピースの素材や歯を動かす仕組みを改良し続けています。
インビザラインジャパン株式会社は「マウスピース型矯正装置」のパイオニア企業である、アメリカのアラインテクノロジー社の日本法人です。
独自に開発した3D画像化技術と審美的要素を融合した「インビザラインシステム」および「インビザラインGoシステム」を提供しています。
SmartTrackは患者さんの快適さを改善するために、最初の装着時の負荷をおさえつつ緩やかでより持続的なフォースがもたらされ、トラッキングを向上させます。
アライナーが伸縮する際、高い弾性をもつ優れたSmartTrack素材はプログラミングされた元の形状により近い状態に戻るためトラッキングが向上します。
熟成形性に優れたアライナー素材であり歯牙の形態、アタッチメントおよび歯間空隙により正確にフィットするように熟成形できます。
マウスピースの装着は慣れれば簡単ですが、最初は手間取ることもあるでしょう。つける順序としては、前歯から奥歯にかけて、指でゆっくりと押していきます。慣れるまでは鏡で確認しながらゆっくりと行いましょう。強い力で無理やり押し込んだりすると、マウスピースの変形や歯の痛みを生じることがありますのでご注意を。この段階では8割方はまっていれば問題ありません。
その後、アライナーチューイというシリコンゴムでできたロールを噛み、しっかりとマウスピースをはめていきます。
アライナー装着の都度、チューイを全歯列にわたりまんべんなく噛み込むように使用します。噛むのではなく噛み込んでください。 インビザラインは、しっかりとはまっていない状態で使用すると、正確に歯が動かないことがありますので、アライナーチューイはケースに入れて常に持ち歩くようにしましょう。
インビザラインを装着しての飲食は原則できません。マウスピースを装着して食事をすると、マウスピースの中に汚れが溜まり虫歯になるリスクが高まります。また、飲み物も制限されます。水分は水で摂ることをお勧めします。砂糖が入っている飲み物は、虫歯のリスクを高めます。砂糖の入っていない炭酸飲料もいいように思いますが、口の中を酸性にするので虫歯リスクを高めます。砂糖の入っていないお茶は虫歯リスクを高めることはありませんが、ステインが付きやすくなってしまいます。その他、コーヒーや紅茶など色の濃い飲料はマウスピースが着色してしまいますので好ましくありません。なので、できれば水がいいでしょう。
インビザラインは1つのマウスピースで歯を動かす量が最小限であるため、ワイヤー矯正と比べると痛みが出ることが少ない治療法です。しかし、新しいマウスピースに変わって最初の2、3日間は多少痛みが出ることがあります。もし我慢できないほど痛くなったり、痛みが続いたりするようでしたら、ご連絡をください。
インビザラインは毎日、20時間以上装着することが原則です。そうはいっても、体調が悪い、旅行に出かけるなど、生活が不規則になるときがあります。その場合、無理をして先のマウスピースに進まないようにしましょう。十分な力が歯にかからないままに先に進んでしまうとシミュレーションとの間にずれが生じる原因になります。特に、新しいマウスピースの最初の3日間は22時間以上使用する必要があります。
| 施術内容 | 料金 |
|---|---|
| インビザライン | 4万円~(マウスピース1枚当たり) |
※通常10枚前後のマウスピースを使用するのが一般的なので治療費は40万円程度で終わる方が多いです。
マウスピースの枚数無制限の場合は80万円となります。
(症例に応じてマウスピースの使用枚数が変化しますので、お気軽にご相談ください。)
はめることで、歯並びの矯正を行えます。
マウスピース型矯正装置(インビザライン)をご存知ですか?
矯正治療には興味があるけれど、、、
そんな方にマウスピース矯正の一つである
「マウスピース型矯正装置(インビザライン)」はお勧めです。
成人だけでなく、お子さん、特に中学生や高校生の思春期にあたる子どもにも推奨したい矯正治療です。


「本当に矯正してるの?」と見た目が自然で、会話にも違和感がありません
マウスピースを外して、毎日のケアや歯磨きもできるので衛生的
プラスチック製のなので金属アレルギーも心配ありません
必要なときには取り外しができるので、食事も美味しく今まで通りに楽しめます
光学スキャナー iTero Elementなら、
治療前後の3Dシミュレーションまでその場で相談・診断できます。

歯並びがでこぼこ

前歯がすきっぱ

前歯が出ている

八重歯が出ている
先ずは当院に、ご相談下さい。
1. 相談(無料)
患者さんのお口の中を拝見して、大まかな治療の流れや期間、費用などをご説明します。疑問や不安に思われることはお気軽に何でもご相談ください。じっくりと患者さんの声に耳を傾け、わかりやすく丁寧にお伝えいたします。
未成年の方は保護者の方とご来院ください。
2. 精密検査・シミュレーション
効果的な治療を行うために、患者さんのお口の中の情報を総合的に集めます。
レントゲン写真や口腔内写真を撮影するほか、デジタルスキャナーによって3Dでシミュレーションしながら治療計画を作成し治療プランを作成します。
3. 治療開始
マウスピース型矯正装置(インビザライン)が届いたら治療が始まります。
治療開始当初は月に1度、その後は2、3ヵ月に1度のペースで来院となります。
マウスピース矯正での注意点
4. 治療完了・保定期間
予定されていたマウスピースの装着がすべて終わり、歯並びが改善されたら矯正治療は終了です。
その後、歯並びの後戻りを防ぐために保定期間に移行します。
当院でも引き続き、経過を観察させていただきます。
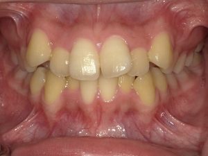
ガタガタとした歯並びや八重歯(叢生)CASE57
✧Before→After✧ 〇ご相談内容:八重歯が気になる〇矯正の種…
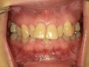
ガタガタとした歯並びや八重歯(叢生)CASE56
☆before→after☆ 〇ご相談内容:はならびが悪く、歯石がつく…
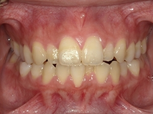
ガタガタとした歯並びや八重歯(叢生)CASE55
20代女性☆before→after☆ 〇ご相談内容:歯並びを改善した…
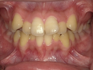
ガタガタとした歯並びや八重歯(叢生)CASE54
20代女性☆before→after☆ 〇ご相談内容:八重歯を引っ込め…