

失ってしまった歯の機能を補う治療法はおもに3種類あります。それは残っている歯にバネなどをかけて固定する「入れ歯治療」、となりの歯を削って支台にして連結した人工歯を装着する「ブリッジ治療」、そして近年多くの方に選ばれている「インプラント治療」です。
インプラント治療には外科手術が必要ですが、まわりの歯に負担をかけることなく、まるで自分の歯のような噛み心地と自然な美しさをよみがえらせてくれる優れた治療法です。
こちらでは、千葉市稲毛区小仲台「JR稲毛駅」東口より徒歩30秒の歯医者「千葉総合歯科稲毛 矯正歯科」が、インプラント治療についてお伝えします。


インプラント治療では人工歯根(インプラント)を顎の骨に埋め込む外科手術を行います。そのため特殊な設備と専門的な知識、そして確かな技術が必要です。当院ではインプラント治療は専門医が行っています。それが鈴木祐輔医師です。
鈴木先生はアメリカのロマリンダ大学に3年間留学し、インプラント学講座を受講。同大学のインプラント学講座臨床准教授として働いた経験があります。また日本口腔インプラント学会専門医、アメリカインプラント学会(AAID)専門医を取得しており、知識・経験ともに豊富で、世界基準のインプラント治療をご提供しています。


不安を感じる方にもリラックスして手術を受けていただくために当院では「静脈内鎮静法」を採用しています。
これは麻酔の一種です。点滴のように鎮静剤を投与すると不安感、恐怖感を抱くことなく穏やかな精神状態になります。
お口まわりは局所麻酔を施しますので、痛みもありません。
静脈内鎮静法を使用することでうたた寝に近い状態で手術に臨めるため、恐怖心が強く、パニックを起こしやすい方もストレスを感じにくくなります。
静脈内鎮静法を使用することでうたた寝に近い状態で手術に臨めるため、恐怖心が強く、パニックを起こしやすい方もストレスを感じにくくなります。
静脈内鎮静法は健忘効果があります。そのため、手術中の記憶がほとんど残らないこともあります。また、時間を把握する感覚も鈍くなるため、気が付くと手術が終わっていたと感じる患者様もいらっしゃいます。
静脈内鎮静法を行う際は血圧や心電図、酸素飽和度などの数値を常に確認しているため容体の変化にすぐ気づけます。また、点滴によって静脈ルートを確保しているため必要な処置を迅速に行うことが可能です。
静脈内鎮静法によって薄くなった意識は、回復するまでに時間が必要です。しかしながら、入院の必要はなく、手術は日帰りで受けることができます。
静脈内鎮静法は、局所麻酔のみでインプラント手術を行う場合と比較して、費用負担が大きくなります。専門の麻酔科医による立ち会いや、全身の状態を管理する機材など、多くの準備を要するためです。
静脈内鎮静法は全身麻酔とは異なるものの、呼吸状態や血圧に影響を及ぼす可能性が全くないわけではありません。 ただし前述したように、静脈内鎮静法では静脈ルートを確保しているため、急変の際には素早く対処することができます。
STEP
1

まず静脈から点滴をします。場所は主に腕ですが、患者さんによっては手の甲など他の部分にすることもあります。
点滴をする際の静脈注射に対する痛みを完全になくすことはできませんが、使用している注射針がとても細いので、「注射が怖い」という患者さんでさえ、痛みを感じないということがほとんどです。
STEP
2

患者さんが完全に痛みなどを感じなくなったことを確認したら、必要に応じて局所麻酔を行います。 治療がスタートした後も、患者さんの心拍や血圧などのデータをリアルタイムでチェックしながら、万一の場合に備えます。
万が一患者さんの状態が急変しても、対応できる準備を万全にします。
STEP
3

点滴がスムーズにいっていることを確認できたら、精神安定剤を注入します。 薬品の量は患者さんの様子を見ながら調節していきます。
その際、患者さんの治療への恐怖の度合いによって、完全に眠った状態にするか、軽く受け答えのできる状態にします。
当院では患者さんに安心・安全なインプラント治療をご提供するために衛生的な環境を整え、高度な設備機器を導入しています。

インプラント治療を成功させるうえで重要なのは、精密な治療計画です。そのためには顎の骨の状態を精密に把握する必要があります。そこで活躍するのが歯科用CTです。これまでのレントゲン検査とはくらべものにならないほどの詳細な情報を立体画像で確認することができます。
顎の骨の骨密度や厚み、さらに神経や血管の位置まで把握できるので、どの位置にどの角度でどれくらいの深さにどの種類のインプラントを埋入すればいいのかの綿密なシミュレーションが可能です。

インプラントを埋め込むための外科手術は専用の手術室で行います。通常の診療室とは別の隔離された「オペ室」は、さらに衛生管理を徹底し、院内感染のリスクをできるかぎり低く抑えています。
ゆったりとした空間ですので、リラックスしてインプラント治療をお受けいただけます。

当院が使用しているインプラントは、スイスのベルン大学とストローマン研究所との協力で開発、1974年に臨床応用された、歴史ある信頼性の高いインプラントです。中でもストローマン社が開発したインプラントの表面性状をSLAといいますが、それをさらに改良し親水性を高めた製品がSLActive Roxolidといいます。
SLActive RoxolidはSLAより親水性を高めただけなのですが、手術後の血液をより引きつけ離さないので骨とのくっつき(インテグレーション)までの期間が早くなります。



CGFとは、患者さんの血液を遠心分離機にかけることでできる骨再生誘導物質(フィブリンゲル)を使った治療法です。従来のPRP再生療法とは違い、添加物(抗凝固剤や凝固促進剤など)を一切含まないため、感染リスクが低く安全性も高くなりました。
【当院では厚生労働省より認可を受け「再生医療等安全性確保法」に基づいた治療を行っています】
再生医療等安全性確保法とは以下の内容です。
当院ではこれらの内容をすべてクリアし治療を行っております。ご安心ください。
ボーングラフト(骨移植)とは、骨が吸収されて薄くなっている部分に、骨のブロックを移植し、細かく砕いた患者さん自身の骨または骨補填材を詰めて、骨の再生を促す治療法です。自家骨移植が最も再生率が高いと言われております。
最近患者さんより、他院でのインプラント治療の相談をよく頂きます。
インプラント治療を担当する副院長はアメリカの大学に留学した際、インプラント学講座臨床准教授を務めたり、インプラント学会の専門医を取得しています。
他院での再治療や治療の中止など、お一人で悩まずに、まずはお気軽にご相談ください。出来るだけみなさんのお力になれるよう精一杯取り組みます。
| 施術 | 内容 | 料金 |
|---|---|---|
| インプラント埋入手術 | ストローマンSLActiveインプラントを使用します。 | 250,000円(税込275,000円) |
| アバットメント | チタン製の土台 | 50,000円(税込55,000円) |
| ジルコニア製の土台 | 70,000円(税込77,000円) | |
| 上部構造 | ジルコニアクラウン | 120,000円(税込132,000円) |
| メタルセラミッククラウン | 120,000円(税込132,000円) | |
| ジルコニアセラミッククラウン | 170,000円(税込187,000円) |
| 施術 | 内容 | 料金 |
|---|---|---|
| 静脈内鎮静法 | 麻酔薬を点滴によって腕の静脈に投与する麻酔方法です。ほとんど眠った状態でオペを受ける事ができます。 | 1手術 90,000円(税込99,000円) |
| CGF(血小板濃縮フィブリンゲル) | 患者様ご自身から採取した血液を遠心分離して、血小板を濃縮したものです。 リスク副作用:肝機能障害などがある患者さんではCGFの作用を十分に発揮できない可能性があります。 |
90,000円(税込99,000円) 静脈内鎮静法を併用する場合は無料 |
| AFG(血小板濃縮フィブリン液) | 手術後の創部の侵襲の軽減、および治癒の促進、骨再生の足場の構築を目的として使用します。 リスク副作用:肝機能障害などがある患者さんではAGFの作用を十分に発揮できない可能性があります。 |
90,000円(税込99,000円) 静脈内鎮静法を併用する場合は無料 |
| ソケットプリザベーション | 骨の吸収を防止するために、抜歯の時点で人工骨などを「穴」に入れて骨を再生させる方法です。 | 60,000円(税込66,000円)~ |
| リッジオーギュメンテーション | 結合組織をやせた歯肉部分に入れて歯肉を盛り上げる方法です。 | 60,000円(税込66,000円)~ |
| サイナスグラフト | 骨の高さを造ることにより、インプラントを埋め込むことができます。 | 200,000円(税込220,000円)~ |
| サイナスリフト | 上顎洞を挙上して自家骨、人工骨を入れ骨を補います。 | 60,000円(税込66,000円)~ |
一般的に、細菌による感染や多量の出血、歯肉弁やインプラント周囲組織の壊死などがリスクとして挙げられます。
術後には多少の腫れと内出血によるあざ等が生じる場合があります。
治療にはリスクもありますが、当院ではインプラント治療に必要な設備を充分に設け、専門的な知識を有した副院長が治療を担当します。
また、当院では専用の手術室を設け感染リスクを可能な限り軽減し、万が一の事態に備え「生体モニター」や「自動体外式除細動器」を導入しています。
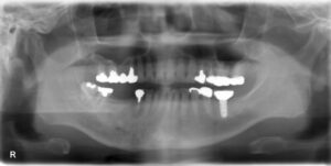
下顎大臼歯2本欠損症例
BEFORE AFTER 67歳男性/下2本欠損/インプラント埋込手術 【治療内容】 他院にて左下の奥歯を抜歯後5年間放…
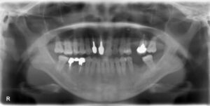
上下臼歯2本欠損症例
BEFORE AFTER 61歳女性/上下2本欠損/インプラント埋込手術 【治療内容】 左上第二小臼歯、左下第一大臼歯は…
下顎大臼歯4本欠損症例
BEFORE AFTER 56歳女性/下顎4本欠損/インプラント埋込手術 【治療内容】 右下大臼歯2本は歯根の破折のため…
下顎臼歯2本欠損症例
BEFORE AFTER 50歳男性/下顎2本欠損/インプラント埋込手術 【治療内容】 右下第二小臼歯、第一大臼歯が欠損…