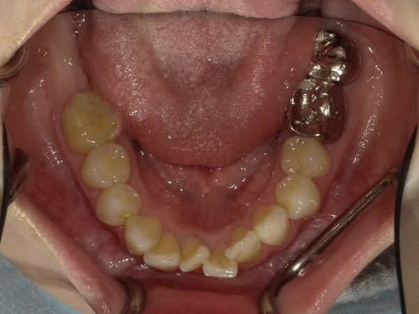
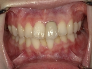
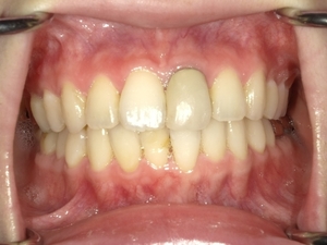
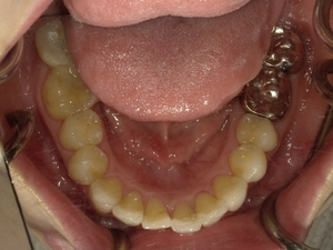
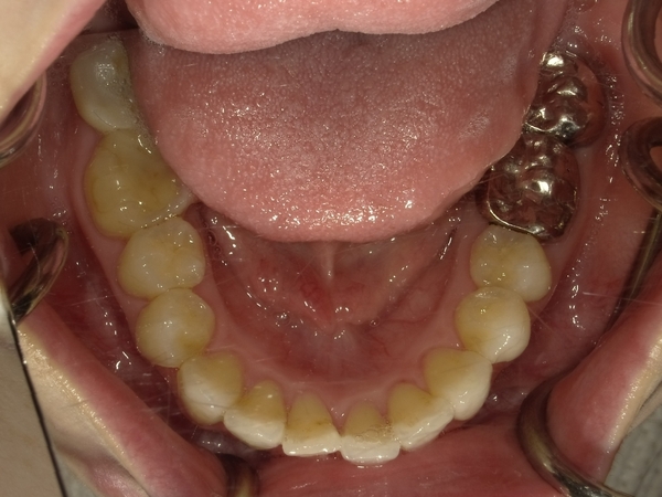
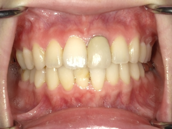
30女性
☆befor→after☆



◯ご相談内容:下のガタガタが気になる
◯矯正の種類:マウスピース型矯正「インビザラインGO」
◯治療期間:20週間
◯治療費用:44万円(税込)