9:00-13:00/14:00-18:00(土日は17:00まで)
043-445-8810
WEB予約
アクセス
土日も診療 買い物・通勤・通学に便利な場所 稲毛駅東口から徒歩30秒
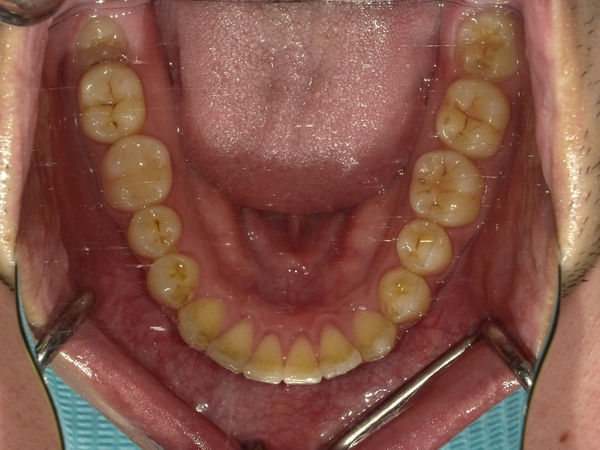
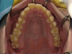
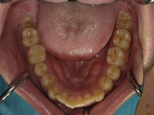
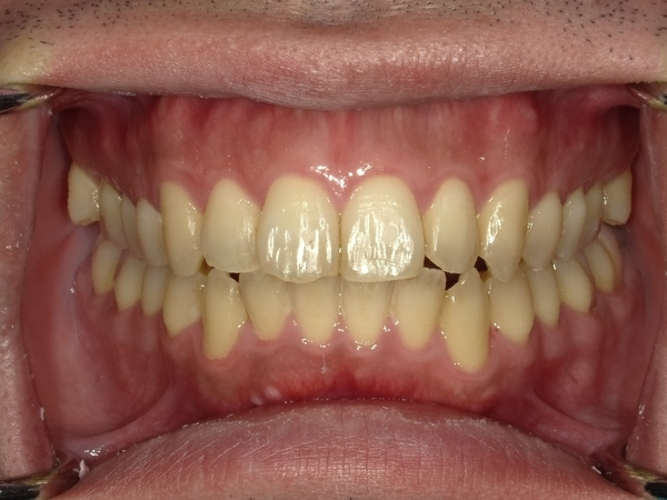
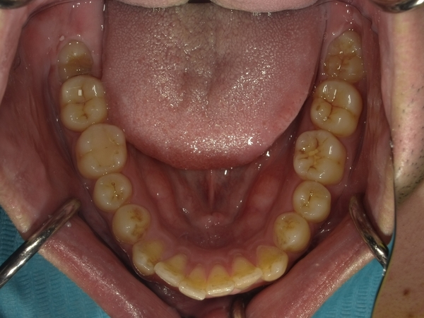
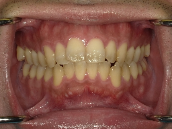
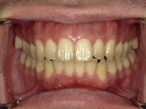
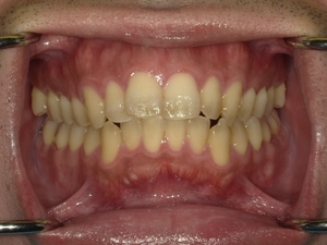
2023.10.17
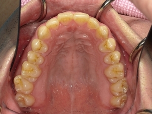
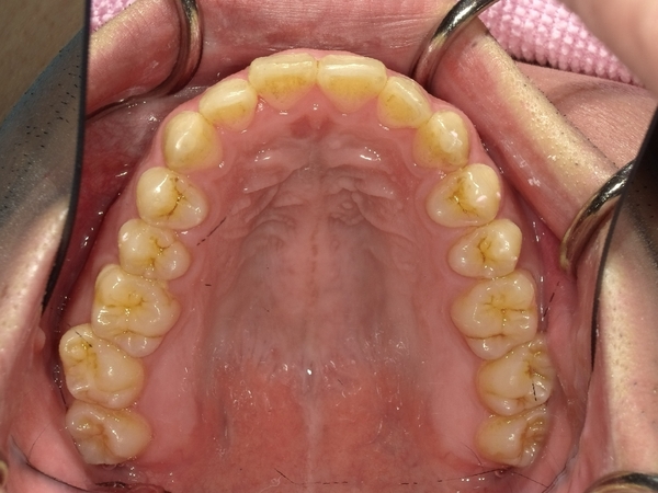
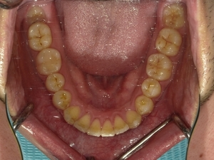
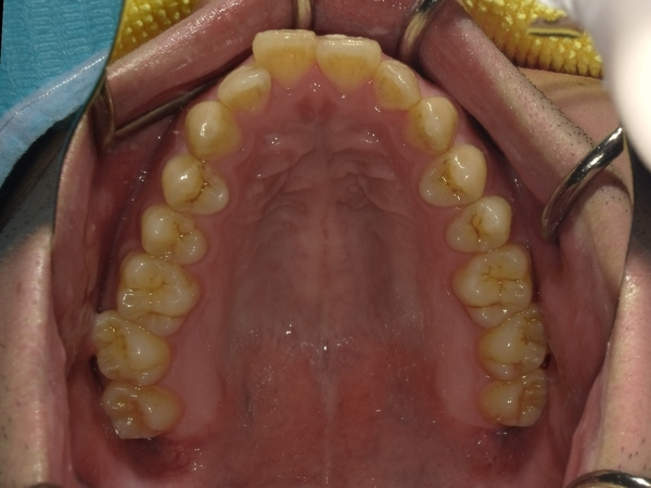
30代男性☆befer→after☆
◯ご相談内容:歯の前突感が気になる◯矯正の種類:マウスピース型矯正「クリアコレクト」◯治療期間:13週間◯治療費用:66万円(税込)