9:00-13:00/14:00-18:00(土日は17:00まで)
043-445-8810
WEB予約
アクセス
土日も診療 買い物・通勤・通学に便利な場所 稲毛駅東口から徒歩30秒
2023.09.18
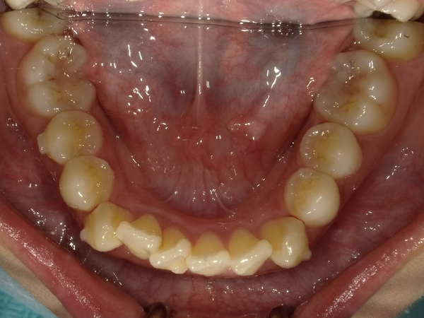
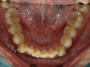
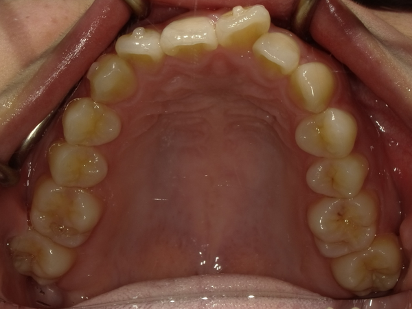
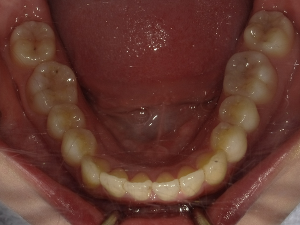
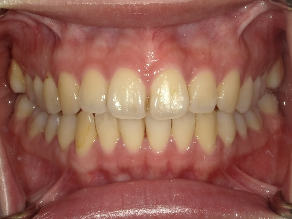
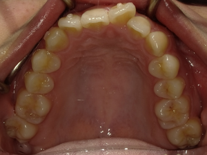
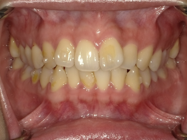
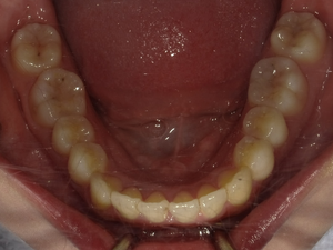
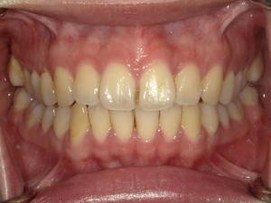
★before→after★
※before写真の歯についている突起は矯正治療中のものになります
●ご相談内容:歯のがたつき●矯正の種類:マウスピース型矯正「クリアコレクト」●治療期間:38週間●治療費用:66万円(税込)