9:00-13:00/14:00-18:00(土日は17:00まで)
043-445-8810
WEB予約
アクセス
土日も診療 買い物・通勤・通学に便利な場所 稲毛駅東口から徒歩30秒
2023.08.21
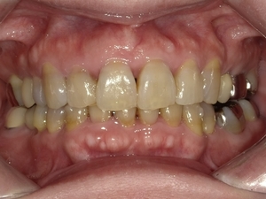
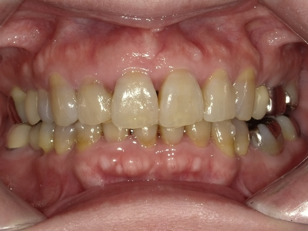
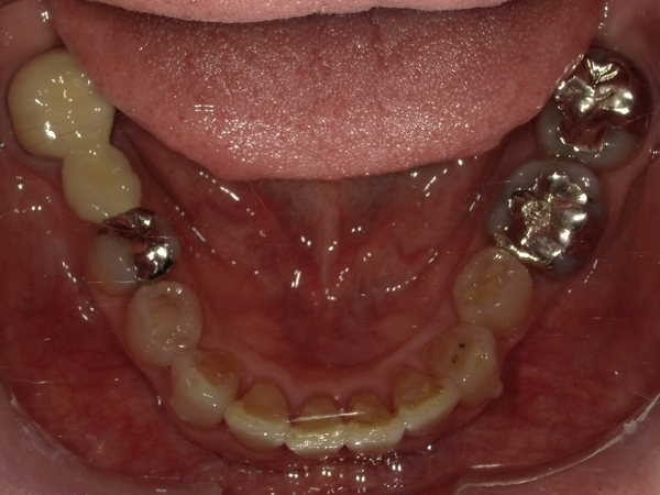
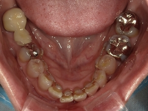
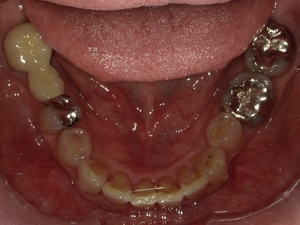
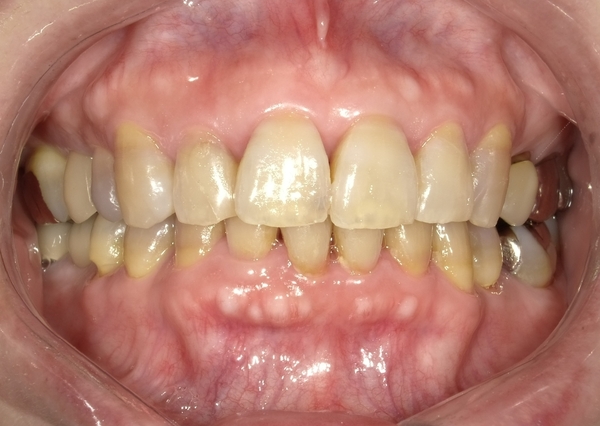
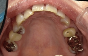
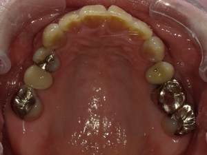
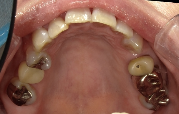
☆Before→After☆
〇ご相談内容:矯正後の後戻り、上下の前突感〇矯正の種類:矯正の種類「クリアコレクト」〇治療期間:24週間(約半年間)〇治療費用:66万円(税込)