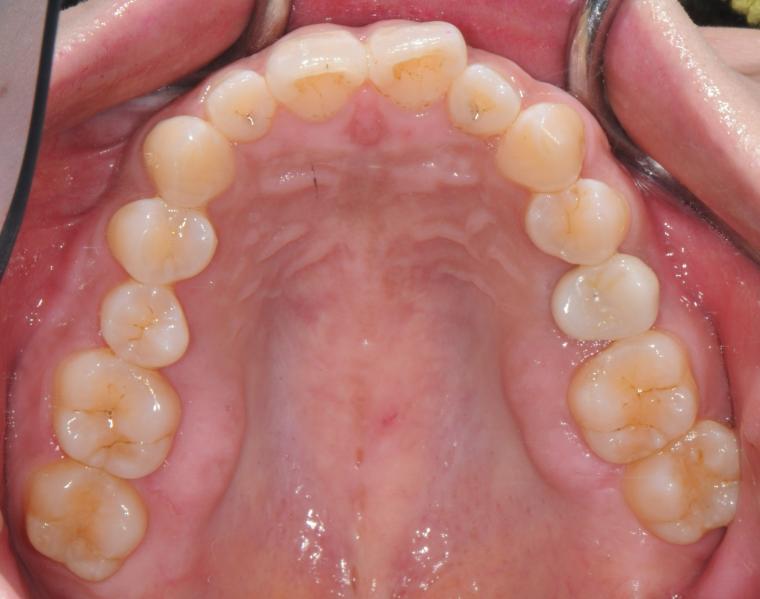
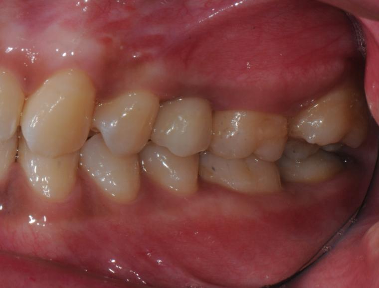
BEFORE



AFTER



33歳女性/上顎1本欠損/インプラント埋込手術
【治療内容】
左上第一小臼歯が先天性欠損のため無く、乳歯のままでしたが、乳歯も自然ダツリで抜けてしまったため、インプラントでの治療をご希望でご来院された患者さんです。
欠損部にインプラントが入り、現在は定期健診で拝見させていただいています。
【費用】
45万円
【治療期間】
6ヶ月
【治療におけるリスク・副作用】
インプラント治療は手術を伴います。腫れや痛みが少なくなるよう努力をしておりますが、多少の腫れや痛みが出ます。しかし、痛み止めで抑えられる程度ですのでご安心ください。
