9:00-13:00/14:00-18:00(土日は17:00まで)
043-445-8810
WEB予約
アクセス
土日も診療 買い物・通勤・通学に便利な場所 稲毛駅東口から徒歩30秒
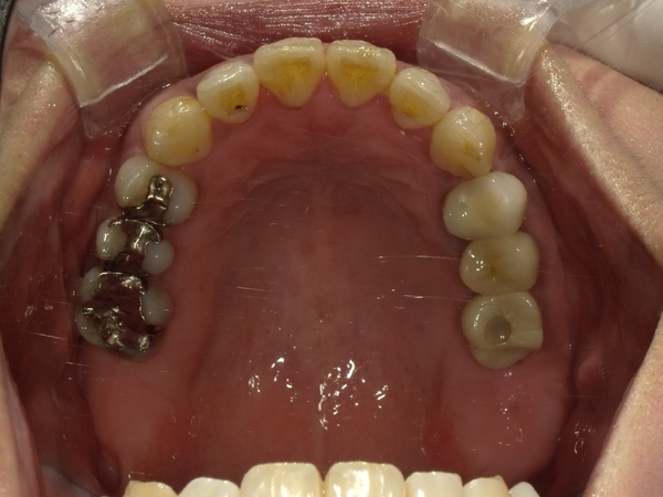
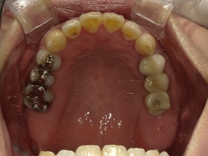
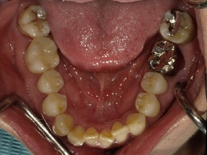
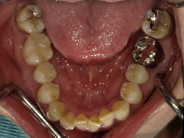
2023.07.03
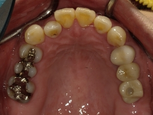
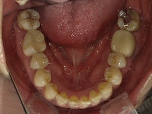
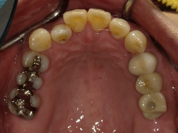
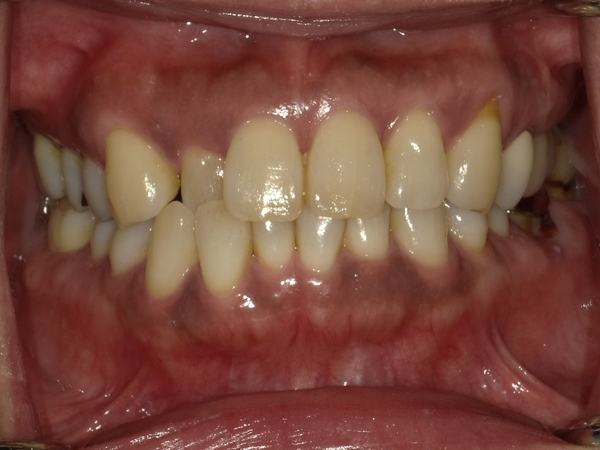
〇ご相談内容:上の前歯が内側に入っている、下の歯のがたつきが気になる〇矯正の種類:マウスピース型矯正「インビザライン」〇治療期間:14週間(約3ヵ月)〇治療費用:44万円(税込)