9:00-13:00/14:00-18:00(土日は17:00まで)
043-445-8810
WEB予約
アクセス
土日も診療 買い物・通勤・通学に便利な場所 稲毛駅東口から徒歩30秒
2023.05.02
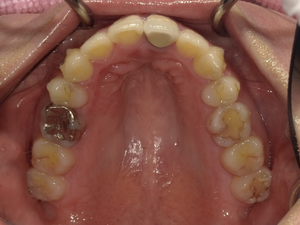
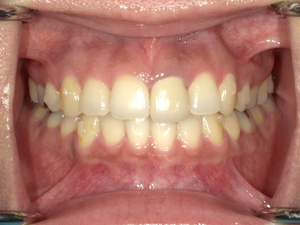
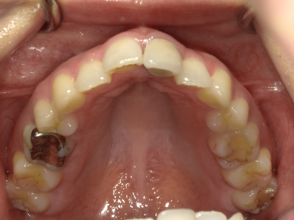
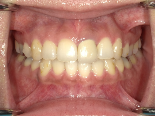
befor→after
●ご相談内容:歯の出っ張り●矯正の種類:マウスピース型矯正「インビザラインGO」●治療期間:13週間●治療費用:44万円(税込)