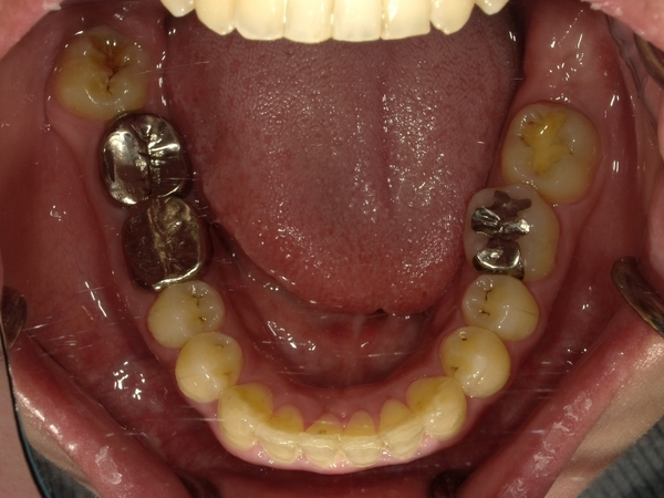
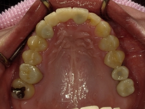
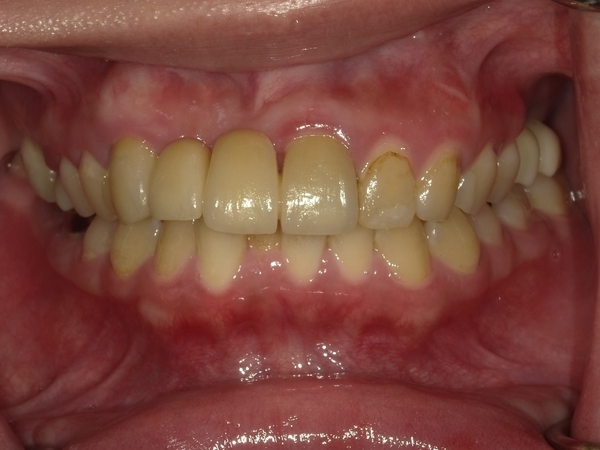
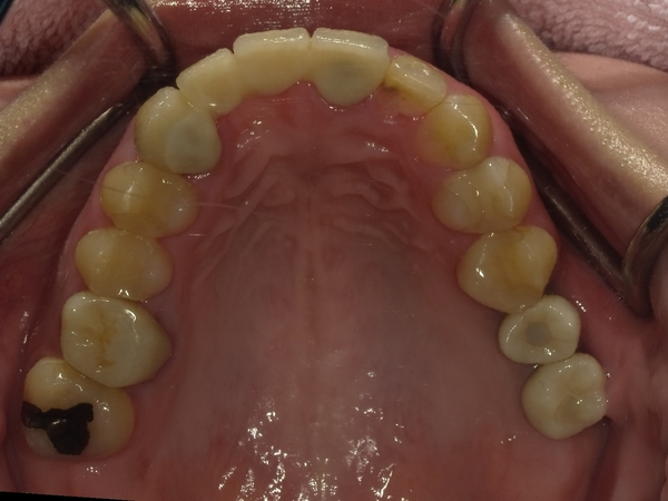
30代女性非抜歯
BEFORE→AFTER



〇ご相談内容:歯の叢生(ガタガタ)
〇矯正の種類:マウスピース型矯正「インビザラインGo」
〇治療期間:16週間
〇治療費用:44万円(税込)