9:00-13:00/14:00-18:00(土日は17:00まで)
043-445-8810
WEB予約
アクセス
土日も診療 買い物・通勤・通学に便利な場所 稲毛駅東口から徒歩30秒
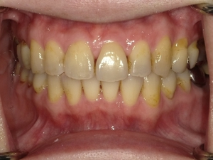
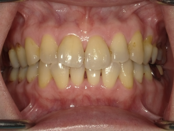
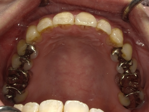
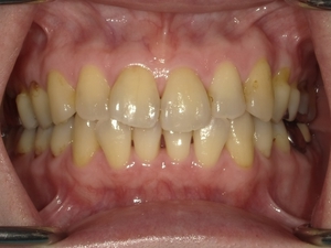
2022.12.02
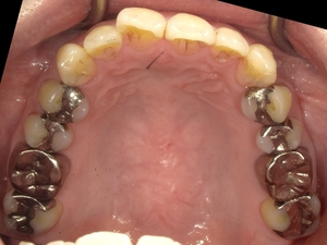
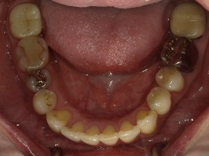
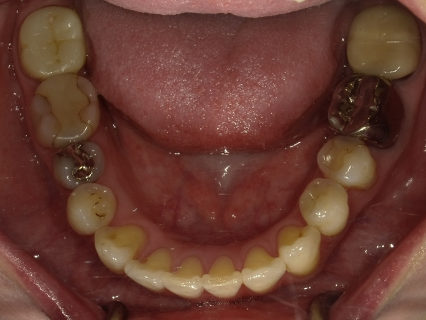
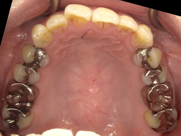
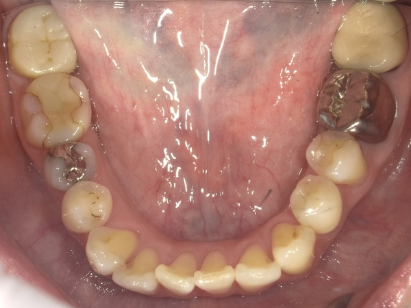
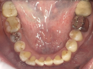
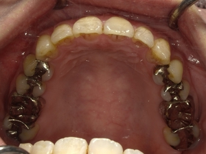
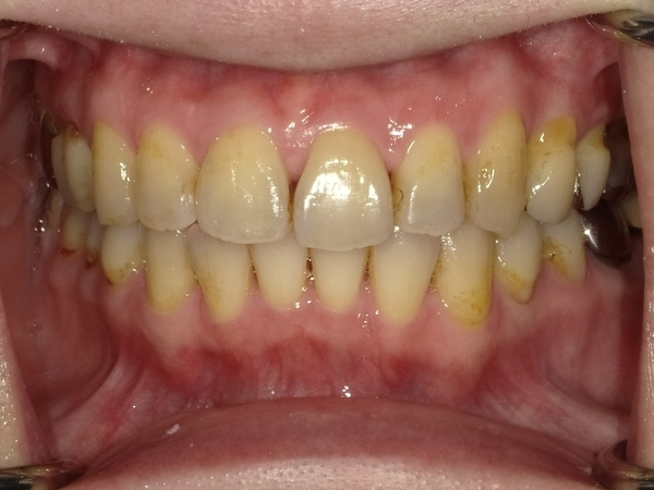
Before After
●ご相談内容:前歯が曲がっている●矯正の種類:マウスピース型「矯正インビザラインGO」●治療期間:18週●治療費用:66万円(税込)