CASE01 20代・女性の方・非抜歯

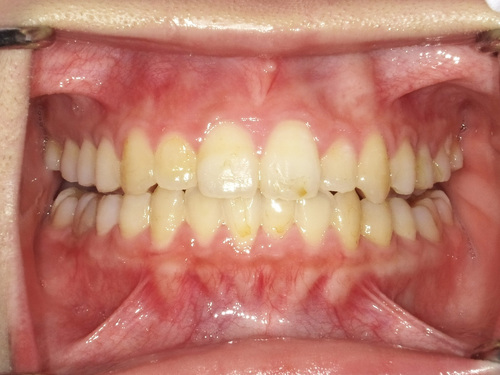
【BEFORE 正面】

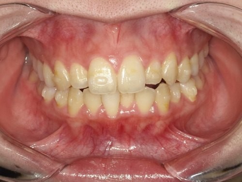
【AFTER 正面】

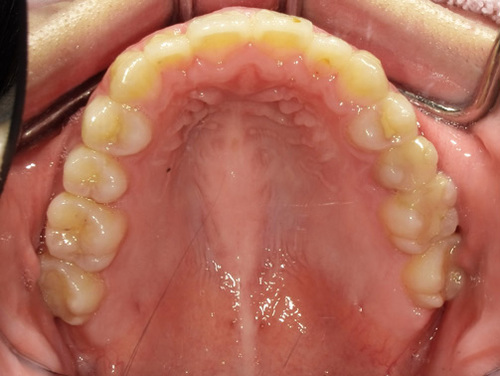
【BEFORE 上顎】

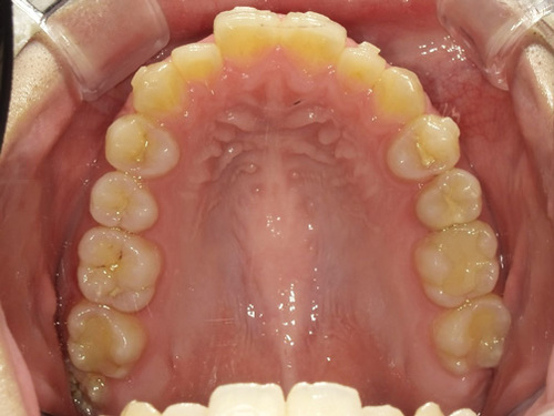
【AFTER 上顎】

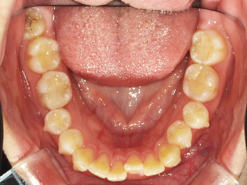
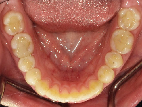
【BEFORE 下顎】

【AFTER 下顎】

ご相談内容: 上下の叢生

矯正の種類: マウスピース型矯正『クリアコレクト』

矯正費用:66万円(税込)

矯正期間:30週